La FHU FOR LIFE


Découvrez la  FHU FOR LIFE, la FédératiOn de Recherche pour la mise en Lumière par l’Imagerie du FoEtus, qui rassemble médecins, chercheurs, sages-femmes, manipulateurs en éléctro-radiologie médicale, ingénieurs et techniciens autour de l’imagerie anténatale et de la médecine fœtale.

 

Ce réseau organise la recherche et innove dans le diagnostic et le traitement des malformations et des troubles de la croissance touchant jusqu’à 10% des grossesses, grâce à des technologies de pointe en IRM et en échographie. Il favorise la collaboration entre les équipes hospitalo-universitaires, les unités de recherche et les acteurs industriels qui travaillent autour des anomalies congénitales.

 

🚀 Labellisation 2025-2029

La FHU FOR LIFE – FédératiOn de Recherche pour la mise en Lumière par l’Imagerie du FoEtus – fait partie des 26 FHU (Fédérations Hospitalo-Universitaires) labellisées pour la période 2025-2029, à l’issue de l’appel à projets « FHU2024 », lancé en février 2024 par l’AP-HP, l’Inserm et les universités d’Île-de-France. 

 

Les FHU ont pour objectifs est de créer une synergie forte entre l’hôpital, les universités et les organismes de recherche, pour améliorer la recherche médicale et la qualité des soins, mais aussi pour contribuer à la diffusion rapide de l’innovation et à une meilleure visibilité internationale.

En 2025, 5 FHU de plus ont été labellisées et financées, que lors de la première et précédente labellisation en 2019. Cette progression témoigne de la dynamique croissante de la recherche hospitalo-universitaire en Île-de-France.

 

💪 Notre mission

Accélérer la recherche médicale sur les pathologies débutant avant la naissance, en fédérant hôpitaux, universités, unités de recherche et acteurs industriels.

🎯 Nos objectifs

  • Mieux comprendre le développement fœtal et placentaire grâce à des technologies de pointe en IRM et en échographie.
  • Innover dans le dépistage, le diagnostic et le traitement des pathologies touchant jusqu’à 10 % des grossesses, comme le retard de croissance intra-utérin (RCIU) et l’insuffisance placentaire.

💡Nos domaines de recherche

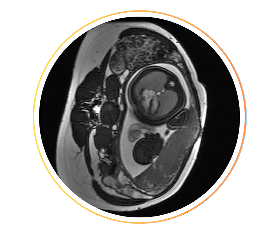
  • Cœur fœtal, développement normal et cardiopathies : fusion écho/IRM cardiaque, segmentation, volumétries cardiaques.

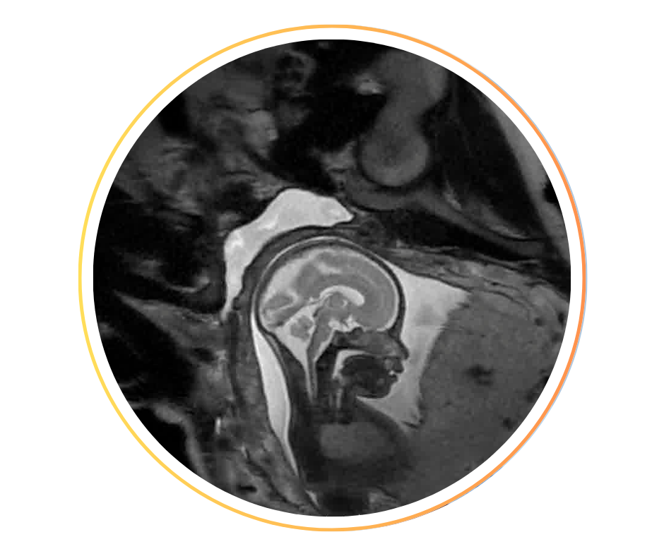
  • Cerveau fœtal, développement normal et neuro-pathologies : fusion écho/IRM cerveau, perfusion cerveau ASL, tractographie, segmentation, analyse gyration.

  • Placenta, fonctionnement normal et pathologies placentaires : fonctionnalité placentaire normale et pathologique, imagerie multimodale (ASL, BOLD, T2*, DCE, …), placenta pathologiques (monochoriales, …).
  • Chirurgie fœtale in utero, de l’imagerie aux traitements :
    modélisation de scènes chirurgicales pour une visualisation en VR, volumétries fœtales et d’organes.
  • Data, archivage, stockage et annotation :
    création d’une base de données issues de grossesses normales et pathologiques, utilisation de la base de données pour de l’IA.

🤝 Coordination et gouvernance

La FHU FOR LIFE est coordonnée par le Pr Laurent Salomon et le Dr David Grévent, et est basée à l’hôpital Necker-Enfants malades, dans les locaux de la Plateforme LUMIERE

La FHU FOR LIFE s’articule autour de 9 WorkPackages (WPs) complémentaires : 

Objectif :

  • Etablir une infrastructure de données, robuste et sécurisée, pour faciliter la collaboration et les projets de recherche des membres de la FHU FOR LIFE.

Responsable du WP1 :
Pr Ferdinand DHOMBRES
Médecine fœtale et échographie, hôpital Armand-Trousseau, AP-HP, Sorbonne Université
LIMICS (Laboratoire de Recherche en Informatique pour la Santé), Inserm U1142

Objectif :

  • Développer de nouvelles technologies et méthodes en imagerie prénatale pour aider au diagnostic.

Responsable du WP2 :
Dr Jean-Baptiste MASSON
Decision and Bayesian Computation – ÉPIMETHÉE, Institut Pasteur – INRIA – CNRS – Université Paris Cité

Objectif :

  • Modéliser la croissance et le développement du fœtus et de ses organes au cours de la grossesse normale et pathologique.

Responsable du WP3 :
Pr Sandrine PASSEMARD
Neuropédiatrie, hôpital Robert-Debré, AP-HP
NeuroDiderot, UMR 1141, Inserm

Objectifs :

  • Comparer les placentas sains, PAG et RCIU.
  • Développer des modèles prédictifs multimodaux (imagerie fonctionnelle-biologie).

Responsable du WP4 :
Dr Raphaël BARTIN
Maternité, chirurgie, médecine et imagerie fœtales, hôpital Necker-Enfants malades, AP-HP
LUMIERE, URP 7328 FETUS, hôpital Necker-Enfants malades, AP-HP

Objectif :

  • Développer l’imagerie tissulaire et la virtopsie

Responsable du WP5 :
Dr Aïna VENKATASAMY
Laboratoire In Vivo Imaging, PARCC (Paris Centre de Recherche Cardiovasculaire), Inserm

Objectifs :

  • Accélérer la translation clinique des outils d’imagerie et de diagnostic développés, afin d’en faire bénéficier rapidement les patientes.
  • Introduire de nouvelles procédures thérapeutiques assistées par l’image.
  • Mettre en place une boucle de rétroaction clinique-recherche pour améliorer en continu les méthodologies et technologies.

Responsable du WP6 :
Dr Laurence BUSSIÈRES
Maternité, chirurgie, médecine et imagerie fœtales, hôpital Necker-Enfants malades, AP-HP
LUMIERE, URP 7328 FETUS, hôpital Necker-Enfants malades, AP-HP

Objectifs :

  • Former les professionnels de santé et les scientifiques aux dernières avancées en imagerie prénatale (échographie et IRM), ainsi qu’à l’analyse d’images en 3D.
  • Diffuser les connaissances au sein de la communauté médicale et scientifique à travers des programmes de formation.
  • Partager les résultats et les avancées par le biais de conférences, de publications et de supports pédagogiques afin de promouvoir les meilleures pratiques en matière de soins prénatals.

Responsable du WP7 :
Juliette FRANÇOIS
Maternité, chirurgie, médecine et imagerie fœtales, hôpital Necker-Enfants malades, AP-HP
LUMIERE, URP 7328 FETUS, hôpital Necker-Enfants malades, AP-HP

Objectifs :

  • Développer et entretenir des collaborations fructueuses avec les partenaires académiques, cliniques et industriels pour maximiser l’impact scientifique et technologique du projet.
  • Favoriser l’innovation industrielle et la valorisation des résultats vers des applications concrètes.

Responsable du WP8 :
Pr Laurent SALOMON
Maternité, chirurgie, médecine et imagerie fœtales, hôpital Necker-Enfants malades, AP-HP
LUMIERE, URP 7328 FETUS, hôpital Necker-Enfants malades, AP-HP

Objectifs :

  • Garantir la conformité de l’ensemble des activités de la FHU FOR LIFE aux normes éthiques et réglementaires, tout en intégrant les attentes sociétales.
  • Évaluer l’impact économique et la rentabilité des nouvelles technologies d’imagerie prénatale, et renforcer le dialogue avec le public et les parties prenantes afin d’assurer une recherche responsable et socialement pertinente.

Responsable du WP9 :
Pr Valérie SEROR 
LUMIERE, URP 7328 FETUS, hôpital Necker-Enfants malades, AP-HP

🏥 Les centres hospitaliers universitaires partenaires

La FHU FOR LIFE fédère 16 équipes de 5 centres hospitaliers universitaires franciliens spécialisés dans la prise en charge des grossesses à haut risque, représentant à eux seuls plus de 20 000 naissances par an :

  • Médecine fœtale et échographie
  • Radiologie pédiatrique
  • Maternité
  • Maternité
  • Imagerie médicale
  • Maternité, chirurgie, médecine et imagerie fœtales
  • Radiologie pédiatrique
  • Chirurgie pédiatrique
  • Néonatologie
  • Cardiologie pédiatrique
  • Foeto-pathologie
  • Chirurgie maxillofaciale
  • Maternité
  • Radiologie pédiatrique
  • Neuropédiatrie
  • Fœto-pathologie

🔬 Les unités de recherche partenaires

La FHU FOR LIFE comprend 10 équipes de recherche collaborant étroitement entre elles et avec les cliniciens, autour des anomalies congénitales et de la médecine fœtale :

  • Laboratoire In Vivo Imaging, PARCC (Paris Centre de Recherche Cardiovasculaire), Inserm
  • LIMICS (Laboratoire de Recherche en Informatique pour la Santé), Inserm
  • NeuroKines (Neurodevelopmental Disorders), NeuroDiderot, Inserm
  • LBI (Laboratory of Imaging Biomarkers), CRI (Centre de Recherche sur l’Inflammation), Inserm
  • ÉPIMETHÉE, Decision and Bayesian Computation, Institut Pasteur
  • CIC Mère-Enfants (Unité de Recherche Clinique Paris Centre Descartes), hôpital Necker-Enfants malades & Institut Imagine
  • Laboratoire IMAG2, Institut Imagine
  • Laboratoire Forme et Croissance du Crâne, Institut Imagine
  • Plateforme LUMIERE, Fondation LUMIERE & Institut Imagine
  • Laboratoire Développement, évolution et fonction des systèmes commissuraux, Institut de la Vision

🏢 Les partenaires industriels

📱Suivre nos actualités